Imax Center

Resultados

Nuestro compromiso es ofrecerte la mejor experiencia.

Tus aliados en radiología oral

Innovación tecnológica

Contamos con lo último en tecnología digital

Cerca de ti

Nuestra sede estratégicamente ubicada

Personal capacitado

Nuestros profesionales cuentan con formación humana y técnica

Servicio con alta tecnología y vanguardia

Nuestro compromiso contante con los Drs. remitidores y los pacientes es poder ofrecerles la mejor atención, con personal capacitado y la mejor tecnología para lograr ayudas diagnósticas de la mejor calidad.

Drs. remitidores
+ 0

Consulta tus estudios

Disponible 24/7

Ingreso Profesionales

Ingreso Pacientes

Nuestro servicio.

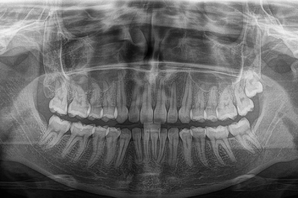
En IMAXCENTER ofrecemos soluciones integrales en diagnóstico odontológico digital, combinando radiología digital, tomografía Cone Beam, escaneo intraoral y laboratorio dental digital en un solo ecosistema. Acompañamos al odontólogo desde el diagnóstico hasta la planificación del tratamiento, optimizando tiempos y mejorando la precisión clínica. Nuestra tecnología avanzada y soporte profesional permiten brindar tratamientos más seguros, eficientes y predecibles, elevando la experiencia del paciente y el valor de cada práctica odontológica.

Descarga nuestra orden de servicio

Nuestros Estudios

Servicios radiológicos

- Radiologia intraorales digitales
- Radiologia extraorales digitales
- Paquetes tomograficos
- Analisis cefalometrico

Servicios laboratorio

- Servicio CAD-CAM
- Ferulas dentales
- Modelos de estudios
- Guía quirúrjica

Scroll to Top